EthOss-seminaari Helsinki 13.2.2026 Dr Stuart Kilner (UK) & EHL Ilkka Pallonen
Liput
EthOss-seminaari Helsinki 13.2.2026 Dr Stuart Kilner (UK) & EHL Ilkka Pallonen

Voit ilmoittautua myös Ota yhteyttä kaavakkeella
EthOss-seminaari Helsinki 13.2.2026
Dr Stuart Kilner (UK) & EHL Ilkka Pallonen
Enemmän luuta - vähemmän kirurgiaa
Ilmoittaudu 28.1.2026 mennessä.
Seminaariliput
340 € + alv 25,5 %
Scandic Grand Central Helsinki
Seminaarisali: SAARINEN
Alustava aikataulu:
08.30-09.00 Ilmoittautuminen ja aamukahvi
09.00-11.00 Luento osa 1 (Stuart Kilner eng.)
11.00-12.00 Lounastauko
12.00-14.00 Luento osa 2 (Stuart Kilner eng.)
14.00-14.15 Kahvitauko / jaloittelutauko
14.15-16.00 Luento osa 3 (EHL Ilkka Pallonen suom.)
16.00-16.30 Q&A
Seminaarin aihe ja tavoitteet:
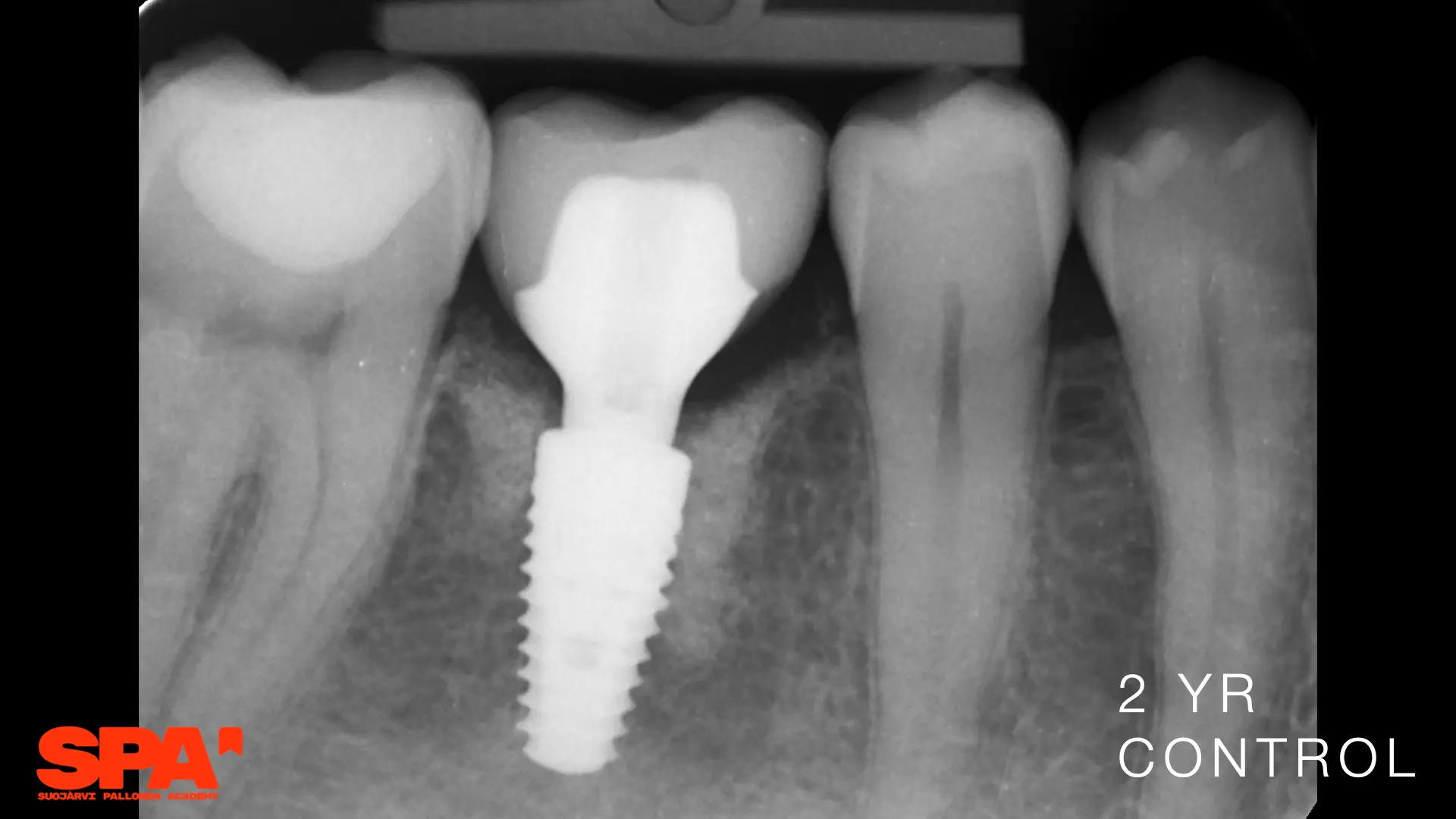
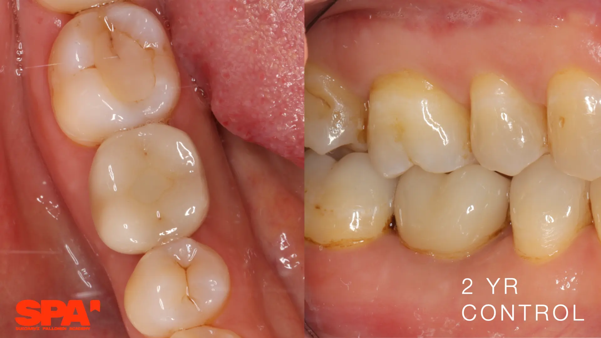
Seminaariesitykset keskittyvät täysin synteettiseen EthOss-biomateriaaliin, joka on kehitetty edistämään potilaan omaa luun uudistumista hammasimplanttien ja suukirurgian yhteydessä. EthOss koostuu β-trikalsiumfosfaatista ja kalsiumsulfaatista, jotka luovat ihanteelliset olosuhteet luun kasvulle ilman sulamattomia vieraspartikkeleita tai eläinperäisiä aineita, korvautuen kokonaan elävällä isäntäluulla noin 6–12 kuukaudessa.
Esityksissä käsitellään materiaalin valmistelua, käyttöä luusiirteissä sekä kliinisiä tuloksia, kuten nopeaa luunmuodostusta (jopa 50 % uutta luuta 12 viikossa), ilman tarvetta erilliselle kollageenikalvolle.
Osallistuminen seminaariin kannattaa, sillä se tarjoaa käytännönläheisiä oppeja kokeneilta hammaslääkäreiltä, auttaen parantamaan implanttien onnistumisprosenttia ja potilasturvallisuutta synteettisillä, bioyhteensopivilla menetelmillä.
Pääset myös verkostoitumaan alan ammattilaisten kanssa ja tutustumaan esimerkkeihin sekä tapausselostuksiin, jotka helpottavat EthOss-materiaalin mahdollisuuksien ymmärtämistä sekä käyttöindikaatioita, tehden luudutuksista yksinkertaisempia ja ennustettavampia.
Dr. Stuart Kilner
Surgical Simplicity, Biological Power: Advancing Regeneration with EthOss
Synopsis
Regeneration in implant dentistry is evolving beyond complex, multi-stage protocols. EthOss represents a new regenerative material, designed to work with the body’s natural healing response to deliver predictable, long-term outcomes.
This lecture will explore how surgical simplicity combined with biologically active materials can achieve outstanding results across a range of indications — from socket preservation and regeneration to sinus lifting. Through clinical cases and practical protocols, Dr. Stuart Kilner will demonstrate how to optimise handling, improve efficiency, and achieve stable regeneration by working with, not against, the body’s innate capacity to heal.
EHL Ilkka Pallonen
EthOss-materiaalin käyttöönotto ja indikaatiot.
EHL suu- ja leukakirurgi Ilkka Pallosella on jo yli viiden vuoden kokemus EthOss-luudutusmateriaalin käytöstä potilastyössään. Esityksessä käydään läpi eri käyttöindikaatioita, materiaalin käyttöönottoa sekä yleisiä käytännön neuvoja niin aloittelijallekin, kuin myös kokeneemmallekin kliinikolle.
Liput ja ilmoittautuminen
Osta liput ylälaidan ILMOITTAUDU-painikkeesta.
Viimeinen ilmoittautumispäivä 28.1.2026
Paikkoja myynnissä 50 kpl.
Voit ilmoittautua myös ota yhteyttä kaavakkeella.
Kysymyksissä ota yhteyttä Kompodentiin.
EthOss cases by Dr Stuart Kilner
EthOss cases by Dr Ilkka Pallonen












